EN
AR
FieldStrength MRI articles
adaptive programming masthead

Understanding how Compressed SENSE makes MRI faster

FieldStrength MRI articles

Educational and Technology - July 2019

Share this article:

Can be used in all anatomical contrasts, enabling scans to be up to 50% faster with virtually equal image quality*

Compressed SENSE is the latest Philips MRI acceleration method, based on our industry leading dStream architecture. Compressed SENSE further expands the performance of dS SENSE, making MRI scans up to an additional 50% faster*, with virtually identical image quality. Alternatively, Compressed SENSE can increase the image resolution up to 40% within the same scan time. Compressed SENSE can be applied to all anatomies and works for both 3D as well as for 2D MRI acquisitions, making it a powerful asset for almost all clinical MRI exams.

video thumbnail image

Video: Compressed SENSE - how does it work?

Compressed sensing vs other acceleration methods 

Compressed sensing is a term from the field of digital signal processing. When a signal is digitally sampled, like it happens in an MRI scanner, the signal is not recorded continuously (like old cassette players used to do) but at intervals. A famous theorem from digital signal analysis, the Nyquist theorem, states that for constructing a perfect MR image of 256 x 256 pixels, it is required to sample 256 lines in k-space, each sampled in 256 positions. By doing less, the acquisition will be faster, but the reconstructed image will always be distorted one way or another.

 

This is exactly what happens with traditional acceleration techniques in MRI, such as halfscan, radial, spiral, increased voxel size and parallel imaging. All of these methods skip parts of k-space during acquisition in order to reduce acquisition time.

However, there will always be a penalty: either a reduced signal-to-noise ratio (halfscan, parallel imaging), lower image resolution (increased voxel size) or image artifacts (spiral, radial).

 

Compressed sensing is not different, but in practice it is often more forgiving than other acceleration techniques in terms of image distortion and SNR, because it can be designed to primarily sample the MR signals that matter most, while leaving out the rest. A unique aspect about compressed sensing is that it can bypass the aforementioned Nyquist theorem: although not enough samples are taken for perfect image reconstruction, a good compressed sensing reconstruction can successfully remove the inherent artifacts and produce excellent diagnostic images.

Philips Compressed SENSE for faster MRI without sacrificing image quality* 

Compressed SENSE is the Philips implementation of the compressed sensing principle. It combines dS SENSE, our industry leading parallel imaging method, with compressed sensing. As a result, it can reduce the scan times by up to 50% compared to current examinations without Compressed SENSE.

 

Philips Compressed SENSE is unique for various reasons:

  • Compressed sensing reconstructions can be done in many different ways. Our algorithm uses a priori information from system calibration data, anatomical knowledge and general MRI principles. All of this information is carefully balanced to reconstruct the best possible MRI image quality, whilst keeping it consistent with the measured MRI data.
  • Traditionally, the time gained with a compressed sensing acquisition is lost again during image reconstruction, which is typically very long, and requires careful parameter optimization by the user. Not so for Compressed SENSE, which typically reconstructs under a minute, without the need for complex user interactions, nor dedicated reconstruction hardware. This pulls it out of the research realm straight into clinical practice.
  • Thanks to our unique dS SENSE infrastructure we have full k-space sampling flexibility for our compressed sensing algorithms. This means that Compressed SENSE, unlike other solutions on the market, has the full freedom to optimize k-space sampling for excellent SNR and sharpness, without any restrictions whatsoever. 
  • As a result of this flexibility, Philips Compressed SENSE can be applied to both 3D and 2D MRI acquisitions, making it applicable to most clinical routine MRI scans.  

Mr ogilvy

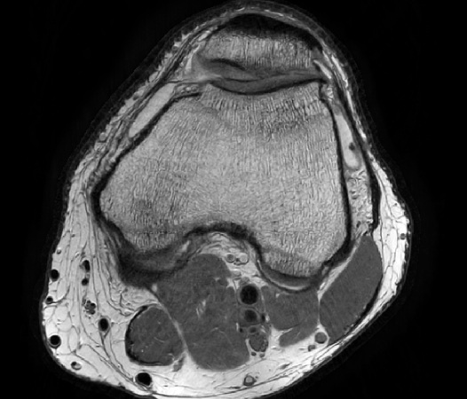
The Compressed SENSE principle in pictures


In the example below, only one fifth of the required MR radiofrequency signals is recorded. This results in a five times faster acquisition, with a subsampled k-space (top left) and inherent image artifacts after standard reconstruction (top right).

Basic compressed sensing principle 

K space
Knee with artifacts

Philips Compressed SENSE 

K-space compressed sense
Knee compressed sense

The Compressed SENSE reconstruction then uses iterative, knowledge-based algorithms to fill in the empty lines in k-space (bottom left). This removes the artifacts while keeping the final image fully consistent with the acquired data (bottom right).

 

*Compared to Philips MR exams without Compressed SENSE

Share this article:

Subscribe to FieldStrength

 

Our periodic FieldStrength MRI newsletter provides you articles on latest trends and insights, MRI best practices, clinical cases, application tips and more. Subscribe now to receive our free FieldStrength MRI newsletter via e-mail.

Stay in touch with Philips MRI

Fieldstrength overview

Subscribe to FieldStrength

 

Our periodic FieldStrength MRI newsletter provides you articles on latest trends and insights, MRI best practices, clinical cases, application tips and more. Subscribe now to receive our free FieldStrength MRI newsletter via e-mail.

Stay in touch with Philips MRI

Fieldstrength overview

You are about to visit a Philips global content page

Continue

You are about to visit a Philips global content page

Continue

Our site can best be viewed with the latest version of Microsoft Edge, Google Chrome or Firefox.