EN
AR
Magnetic Resonance
large masthead pain management procedure

Higher spatial resolution, within the same scan time1


Gain new information and perspectives with Philips Compressed SENSE

    Please fill in the form and one of our representatives will contact you to discuss ways to use Philips Compressed SENSE to enhance your diagnostic confidence.

    Contact information

    * This field is mandatory

    *
    *
    *
    *
    *
    *
    *
    *
    *

    By specifying your reason for contact we will be able to provide you with a better service.

    Insights that enhance your diagnostic confidence


    Rather than speeding up an MRI scan, Philips Compressed SENSE can be used to acquire images with higher resolution - in the same scan time currently allotted for an MRI exam - to increase diagnostic confidence. Sequences can be replaced or added to enhance critical details. A 2D sequence can be replaced with a 3D protocol to provide multiple orientations. Discover how compressed sensing applications can benefit the clinical areas you serve.

    Curious how Compressed SENSE can bring new insights to your MRI exams? 

    Replace Sequences

    Replace sequences


    Trade one sequence for a more powerful sequence


    In some cases, like brain and spine examinations, it can be useful to use the power of Compressed SENSE to trade 2D MRI scan sequences for faster 3D sequences. This can allow clinicians to achieve high spatial resolution in tiny nerves and vessels.

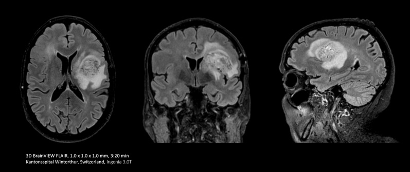
    Replace Sequences scan

    With Compressed SENSE you can replace your single orientation 2D FLAIR scan with a multi-orientation 3D volumetric FLAIR scan in only 3 and a half minutes scan time.

    I do a lot of brain imaging, and we used to do the FLAIR sequence using a 5 mm thick slice. Now with Compressed SENSE we are able to take a 3D volumetric scan for about 6 minutes down to maybe 3 and a half minutes.”

    Dr. Mark Oswood, MD, PhD, Neuroradiologist, Hennepin Healthcare, Minneapolis, USA

    Improve resolution

    Improve resolution


    to diagnose challenging patients and anatomies


    In conventional MRI scan techniques, high resolution imaging can involve long scan times which may be difficult for patients experiencing pain and discomfort. Long scan times can also make it difficult to fit high resolution imaging into acceptable MRI scan time slots for busy departments. Compressed SENSE enables fast 3D submillimeter (0.7 mm or less) isotropic images in less than 5 minutes to help diagnose challenging patients and anatomies.

    Improve resolution scan

    Patient with breast cancer.
    On the left: Conventional 3D mDIXON XD scan with 1.0 mm isotropic voxel size in a scan time of 2:22 min
    On the right: Compressed SENSE 3D mDIXON XD scan with 0.8 mm isotropic voxel size in a scan time of 2:21 min.
    Courtesy: Kurashiki Central Hospital, Okayama. Japan

    In breast scanning, high resolution is important to help me identify very small mammary lesions, so, we need high spatial resolution in 2D T1- and T2-weighted images, as well as a short scan time. Compressed SENSE has allowed us to increase spatial resolution, which benefits our diagnostic confidence.” 

    Dr. Takashi Koyama, MD, PhD, Diagnostic Radiologist and Director of the Department of Radiology Center and Diagnostic Radiology, Kurashiki Central Hospital, Japan

    Add Sequences

    Add sequences


    More information in the same time slot


    Compressed SENSE gives MRI departments the flexibility to acquire as much relevant information as possible within the MRI scan time slot. Its speeds allows extra routine and functional sequences to be added to enhance diagnostic information.

    Add Sequences Scan

    This case demonstrates the ability to add additional sequences within the same time slot to enhance your diagnostic confidence. Besides traditional TSE sequences, you can now add a functional DWI sequence within the same timeslot, providing additional information for you to base your diagnosis on.

    Because the faster scanning with Compressed SENSE saves us time, we can add a sequence to obtain high quality images for confident diagnosis." 

    Sachi Fukushima, Radiological Technologist, Kurashiki Central Hospital, Japan

    Enables up to 64% improvement in spatial resolution, within the same scan time1


    Compare the image quality of an MRI scan performed with Compressed SENSE MRI software versus a conventional scanning technique

    voxel size: 0.4 x 0.6 x 2.5mm voxel size: 0.3 x 0.3 x 2.5mm
    Dr. Lawrence N Tanenbaum who can scan 2D and 3D with Philips Compressed SENSE
    The key to the Philips Compressed SENSE implementation is that it is universally applicable to all 2D & 3D scans as well as all body parts – that makes an enormous difference.”

    Dr. Lawrence N Tanenbaum, RadNet, Beverly Hills, CA, USA

    Learn more about Compressed SENSE

    Fieldstrength

    Increased throughput, shorter MRI time slots

    Compressed SENSE can accelerate most MRI scan sequences without sacrificing image quality, which allowed KOYASU Neurosurgical Clinic (KNC) to shorten its MRI time slots. As a result, KNC increased the throughput of their MRI scanner with an average of three additional patients per day.

    Paradigm Shift

    A paradigm shift in productivity

    Learn more about the main principles of Compressed SENSE MRI software and how it introduces a paradigm shift in productivity. Compressed SENSE was designed around image quality, and it can accelerate scans, increase spatial resolution and enhance the patient experience for clinical MR imaging.

    KCH image

    High quality and fast scanning at KCH

    The MRI staff at Kurashiki Central Hospital incorporated Compressed SENSE into most of the brain, spine, abdominal, and cardiac examination protocols on their Ingenia 1.5T, resulting in fast and high-quality MRI scans, which is welcomed by patients and staff.

    large masthead female doctor

    Contact us


    Want to receive more information on Compressed SENSE?


    Please fill in the form and we will contact you to provide tailored advice for your department as soon as possible.

    Please fill in the form and one of our representatives will contact you to discuss your situation and send you more information about Philips Compressed SENSE.

    Contact information

    * This field is mandatory

    *
    *
    *
    *
    *
    *
    *
    *
    *

    By specifying your reason for contact we will be able to provide you with a better service.

    1. Compared to Philips scans without Compressed SENSE

    You are about to visit a Philips global content page

    Continue

    You are about to visit a Philips global content page

    Continue

    Our site can best be viewed with the latest version of Microsoft Edge, Google Chrome or Firefox.